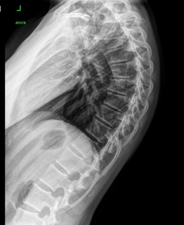
Возраст пациента: 19 лет
Угол кифоза: 65°
Цель:
- снизить угол кифоза
- снять напряжение и боль в спине
- улучшить внешний вид
Что мы сделали:
- увеличили мобильность грудного отдела позвоночника на 15°
- увеличили экскурсию грудной клетки с 3 до 6 см
- выработали позы самокоррекции сидя, стоя и в ходьбе
- начали внедрять силовые упражнения в самокоррекции
Работа с гиперкифозом это всегда работа в долгую, это изменение и центра тяжести тела и паттерна дыхания, а также много осознанности для удержания позы с меньшим углом кифоза в течение дня.
Угол кифоза: 65°
Цель:
- снизить угол кифоза
- снять напряжение и боль в спине
- улучшить внешний вид
Что мы сделали:
- увеличили мобильность грудного отдела позвоночника на 15°
- увеличили экскурсию грудной клетки с 3 до 6 см
- выработали позы самокоррекции сидя, стоя и в ходьбе
- начали внедрять силовые упражнения в самокоррекции
Работа с гиперкифозом это всегда работа в долгую, это изменение и центра тяжести тела и паттерна дыхания, а также много осознанности для удержания позы с меньшим углом кифоза в течение дня.